1Artroskopik Ön Çapraz Bağ Ameliyatı
26 yaşında erkek hasta sol diz burkulması sonrasında tekrarlayan boşluğa basma hissi, dizde güvensizlik, ağrı ve şişme şikayetleri ile başvurdu. Artroskopik ön çapraz bağ rekonstrüksiyonu ameliyatı (ACL Reconstruction) ile tedavi edildi.
2Artroskopik Ostekondritis Dissekans Tespiti
18 yaşında erkek hasta, profesyonel basketbol oyuncusu.
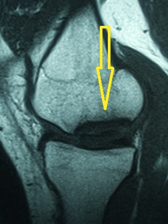
Uzun süredir devam eden diz ağrıları, maç sırasında gelişen burkulma ile artmış. Dizde şişme, ağrı ve basamama şikayetleri ile başvurdu. MR tetkikinde eklem hattında kıkırdak ve kemik içeren büyük bir eklem faresinin serbestleştiği görüldü (Gr 3 Osteochondritis Dissecans)
Uzun süredir devam eden diz ağrıları, maç sırasında gelişen burkulma ile artmış. Dizde şişme, ağrı ve basamama şikayetleri ile başvurdu. MR tetkikinde eklem hattında kıkırdak ve kemik içeren büyük bir eklem faresinin serbestleştiği görüldü (Gr 3 Osteochondritis Dissecans)



Hastanın ayrışmakta olan kıkırdak hattı kendi dizinin diğer alanlarından alınan kemikli kıkırdak tüpleri ile artroskopik olarak tespit edildi. (Mozaikplasty Plug Tespiti) Böylece hem ayrışmakta olan kıkırdak tespit edildi hem de ayrışma bölgesi taze kemik ve sitokinlerle tekrar kaynamaya zorlandı.

Hastanın ameliyattan sonraki birinci yıl MR tetkiklerinde ayrışmanın tamamen iyileştiği gözlendi.
Şikayetler sona ermişti ve hasta tekrar basketbol oynayabiliyordu.
Şikayetler sona ermişti ve hasta tekrar basketbol oynayabiliyordu.



