The hip joint is a versatile structure formed by the pelvis and the upper end of the femur. The amount of energy the hip is exposed to, the duration and metabolic characteristics of the patient determine the results of trauma. In this respect, hip fracture includes very different damages in terms of its definition and content.

In such injuries, early fixation of fractures (osteosynthesis) is important for the vitality and union of bones. For patients with delayed treatments or advanced age, joint replacement surgery may be performed for the construction of a fast and robust joint rather than fusing the union of the fracture.



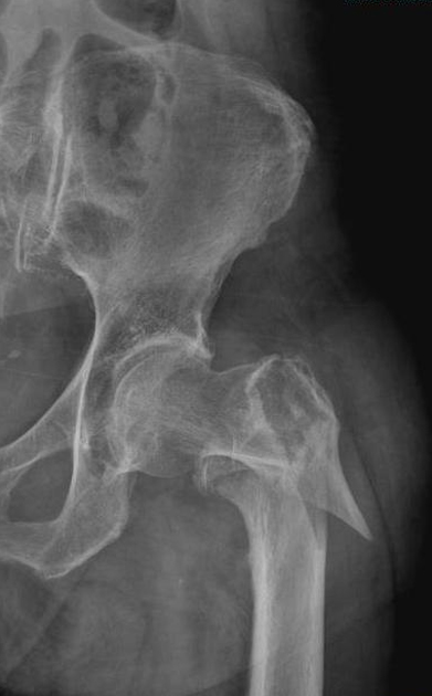
Fractures around the greater and small trochanter of the femur are more convenient in terms of blood flow and union. However, these fractures are unstable and susceptible to separation due to the pulling force of strong muscles adhering to fractures.
In the past, fractures in these regions, were treated with prosthesis applications instead of union, due to old age and osteoporotic bone structures of the patients. However, because of the strong muscle groups in this region affects the mechanical ability of prostheses negatively, this method do not provide an adequate satisfaction.
Due to the fact that modern, powerful, easily applicable fixing devices can be placed with minimal incisions to the patients, the prosthesis is not generally applied in the treatment of trochanteric fractures. A convenient pre-surgery planning and the proper application of fixation devices (nails) allow patients to walk in the early stages and protected from the handicaps of prosthetic surgery.
In the past, fractures in these regions, were treated with prosthesis applications instead of union, due to old age and osteoporotic bone structures of the patients. However, because of the strong muscle groups in this region affects the mechanical ability of prostheses negatively, this method do not provide an adequate satisfaction.
Due to the fact that modern, powerful, easily applicable fixing devices can be placed with minimal incisions to the patients, the prosthesis is not generally applied in the treatment of trochanteric fractures. A convenient pre-surgery planning and the proper application of fixation devices (nails) allow patients to walk in the early stages and protected from the handicaps of prosthetic surgery.




