
Humerus Kırıkları, tüm kırıkların %1'ini oluşturur. Ayrışma ya da belirgin parçalanma göstermemiş humerus kırıkları genellikle dengeli vasıftadır. Dengeli kırıklar ufak derecelerde açılanma gösterebilirler.
Önemsenmeyebilecek (çoğu farkedilmeyen) şekil bozukluklarına neden olurlar. Kollar, bacaklar gibi yük taşımadıkları için bu bozukluklar, kırık iyileşmesini ya da fonksiyonları önemli ölçüde etkilemezler.
Bu bakımdan basit humerus kırıkları, plastik ya da alçı desteklerle tedavi edilebilirler.
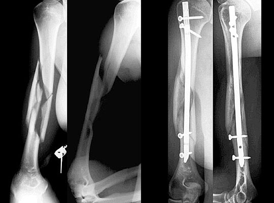
Parçalı kırıklar, aynı uzuvda birden fazla kırık, karşı kol kırığı bulunması, çoklu organ yaralanmaları gibi durumlarda cerrahi tespit ile kırığın kaynatılması gerekir. Kırık tespiti için, plak-vida, kanal içi çivi ya da dıştan tespit cihazı uygulanabilir.
Önemsenmeyebilecek (çoğu farkedilmeyen) şekil bozukluklarına neden olurlar. Kollar, bacaklar gibi yük taşımadıkları için bu bozukluklar, kırık iyileşmesini ya da fonksiyonları önemli ölçüde etkilemezler.
Bu bakımdan basit humerus kırıkları, plastik ya da alçı desteklerle tedavi edilebilirler.
Parçalı kırıklar, aynı uzuvda birden fazla kırık, karşı kol kırığı bulunması, çoklu organ yaralanmaları gibi durumlarda cerrahi tespit ile kırığın kaynatılması gerekir. Kırık tespiti için, plak-vida, kanal içi çivi ya da dıştan tespit cihazı uygulanabilir.
Kanal içi çivileme sınırlı girişimsel olmakla birlikte, omuz ya da dirsek eklemine yakın girişi nedeniyle bu alanlarda hasara yol açabilmektedir. Plak-vida uygulamaları açık cerrahinin avantaj ve dezavantajlarını barındırır.
Dıştan tespit cihazları ise, çoklu yaralanmaların ya da açık kırıkların ilk müdahalesi olup kalıcı tedavi için genellikle tercih edilmemektedir.
Dıştan tespit cihazları ise, çoklu yaralanmaların ya da açık kırıkların ilk müdahalesi olup kalıcı tedavi için genellikle tercih edilmemektedir.


Sınırlı girişimsel plak-vida uygulamaları ise pencere kesiler kullanılarak, kırık hattındaki kan dolaşımına zarar vermeden uygulanır. Böylece kırıklar; yeterince uzun, sağlam, sınırlı esneklik sağlayarak iyileşmeyi hızlandırabilen plaklarla tespit edilebilirler. Uygulamayı yapacak ortopedistin teknik deneyimi önem arz etmektedir.



