

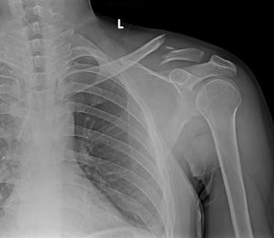
Omuz kırığı, omuz eklemini meydana getiren, proksimal humerus üst ucunda görülen kırıktır.
Omuz kırıkları, bütün kırıkların yaklaşık olarak % 5’ini meydana getirirler. Genç yaştaki hastalarda omuz kırıkları; trafik kazası, yüksek bir yerden düşme, ateşli silah ile yaralanma gibi ciddi travmalarla olur. Yaşlı nüfusta görülen bu omuz kırıklarının çok sık olması osteoporoza bağlıdır. Evde yürürken düşme benzeri basit travmalarla bile bu omuz kırığı görülebilmektedir.

Omuz Kırığı
Hastalar, travma durumundan sonra omzunda ciddi bir ağrı ve de omuz hareketlerini hiç yapamama, kolunu yukarı kaldıramama çok fazla güçlük çekme şikayeti ile tıbbi yardıma başvururlar. Hastalar kolunu diğer elleriyle sabit tutarak hareket etmesine mani olmaya çalışırlar.
Omuz kırıklarında tanı nasıl koyulur?
Omuz kırığı tanısında fizik muayenenin yanı sıra radyolojik inceleme yapılarak da tanı koyulur. Fakat kırıktaki parçalanma ve de ayrışma miktarı, açılanmanın olduğu bölgenin derecesi tedavi yolunda çok büyük bir önem arz eder. Bu sebeple bir çok hastada tedavi yönteminin seçiminde omuz ekleminin bilgisayarlı tomografi (BT) kullanılarak görüntülenmesi ve sonra da uygulanacak olan tedavi yöntem kararı verilir.
Omuz kırığı tedavisi çeşitlilik göstermektedir. Kırık olan parçalar eğer ki 1 cm den daha fazla ayrışmış ya da kırık olan parçanın 45 derece üstünde bir açılanma göstermesi durumun cerrahi tedavi yapılmasını gerektirir.
Tedavi uygulamaları şu şekilde ifade edilebilmektedir.
Hiç ayrışma göstermeyen sabit kırıklar da kol askısı sayesinde tedavi edilir.
Ufak ayrışma gösteren, sabit olmayan kırıklar da kapalı redüksiyon ve de tel/vida tespiti ile tedavi yapılır.
İki ya da üç tane ayrı parçadan meydana gelip ayrışma gösteren bu kırıklar, 45 yaşından küçükse dört parçalı kırıklar da açık cerrahi tespit yöntemiyle tedavi edilir.
Yaşlı hastalarda görülen 4 parçalı kırıklarda ise gecikmiş kırıklar, tümoral sebeple olan kırıklar, nekroz gelişen kırıklar da ise omuz protezi ile tedavi uygulaması yapılır.
Omuz kırıklarında ani hareketler yapmadan kol sabit tutularak en güvenli şekilde tıbbi müdahale bulmak gerekmektedir.